Jednak z rozhodnutí, že je to nutné.
Pokud je to opravdu nutné, pak zjistíme, jak se to dělá – to bude druhé.
A do třetice, jak se na to připravit.

Příprava na bělení zubů. Jsou dvě možnosti:
1. Ideální variantou je konzultace s Vaším zubním lékařem, který Vám šetří čas a námahu podrobně vysvětlí pro a proti, načasování a prognózu bělení zubů. Nuancí bělení je spousta a v každé konkrétní puse jich bude dost na plnohodnotný rozhovor zhruba hodinu. Tohle by ale neměla být jen abstraktní přednáška o bělení zubů obecně, ale dialog s vámi.
Jak moc si chcete zesvětlit zuby? Všech šestatřicet nebo bude stačit dvacet? Co dělat s plombami a korunkami, které máte v ústech? Mám je taky vybělit, nebo předělat? Jak dlouho bude bělení trvat? V křesle lékaře nebo doma? Zůstanou vaše zuby bílé navždy, nebo byste je měli bělit každý měsíc? Budou mě po bělení bolet zuby? Co dělat s tímto šedým zubem, pokud má zbytek normální barevnou orientaci. A mnohem, mnohem víc.
Pokud je vše tečkované, lékař vysvětlí, kde začít, jak bude bělení probíhat a co dělat poté, aby zůstaly stejně bílé.
2. Pokud první možnost není vhodná (proč to není jasné?), přecházíme na druhou – nudně mluvíme o přípravě na bělení zubů.
Pokud pravidelně navštěvujete svého hygienika nebo nemáte plak, můžete toto přeskočit. Pokud je tam plaketa, pokračujte ve čtení.
Než si vybělíte zuby, musíte nejprve vidět jejich skutečnou barvu. Pokud jsou zuby pokryty skořápkou plaku a kamene, tato konzervační kompozice se odstraní. Jak? To je možné po odstranění plaku a všeho cizího, odhalená barva zubů vám bude zcela vyhovovat.
Stal se případ: Přišel pacient na bělení. Všechno mi řekli, všechno mi ukázali a nechali mě to zkusit. souhlasil jsem. Odstraněn plak a zubní kámen. Ona: „Jak rychle! Řekl jste, že to bude trvat dlouho. A už mi vybělili zuby. Dobrá práce!” Hygienička je zmatená – právě jsme si vyčistili zuby od plaku a zubního kamene. S bělením jsme ještě nezačali. Výsledek: bělení nebylo provedeno, protože pacient byl spokojen s barvou svých zubů, které dříve nevypadaly tak dobře kvůli banálnímu plaku a zubnímu kameni. Ale to je vzácný, opomíjený případ.
Pokud je na zubech plak, musí být odstraněn. Jinak k bělení nedojde ze zubů, ale z plaku. Bělicí systém bude působit na něj, a ne na sklovinu zubů.
Nezbytná je i absence zubního kamene na zubech. Nedovolí vám vybělit zuby v blízkosti dásní a zuby budou pruhované – horní část je bílá a poblíž dásní.
Pokud je na zubech kaz, pak to může bělicí systém ovlivnit, výrazně zvýšit citlivost těchto zubů nebo způsobit exacerbaci. Proto se před bělením musíte zbavit kazu – dát trvalé nebo dočasné výplně.
Takže vaše zuby jsou čisté. Musíte určit jejich barvu a zjistit, kterou chcete. Ne okem, ale pomocí speciálních barev. Pak bude jasné, jakou metodu bělení použít – bělení v zubařském křesle nebo doma. A kolik sezení to bude trvat?
Pokud jsou vaše zuby citlivé na teplo a chlad, pak je lepší použít domácí bělení a malou koncentraci bělícího systému (šest možností), aby se nezvětšovaly již tak citlivé zuby. Pokud je zítra svatba nebo není citlivost, můžete provést ordinační bělení

Pokud vaše zuby vypadají šedě, nemusí to být jejich skutečná barva. Ale ve skutečnosti je smalt velmi průhledný. Při vysokém stupni průhlednosti skloviny se zuby jeví jako šedé v důsledku prosvítání sklovinou dutiny ústní. To znamená, že na tmavém pozadí dutiny ústní vypadají zuby šedě. Tradiční bělení nepomůže. Chcete-li zesvětlit takové zuby, musíte snížit průhlednost skloviny:
Nebo ošetřete speciálními bělícími systémy,
nebo naneste na vnitřní povrch zubů speciální bílé barvivo, které sníží průhlednost. Váš zubní lékař vám doporučí racionální variantu.
Pokud mají některé zuby umělé výtvory v podobě výplní nebo korunek, musíte se o jejich osudu rozhodnout se svým lékařem. Při bělení zubů se totiž zuby zesvětlí, ale výplně a korunky zůstanou stejné barvy a mohou být plné tmavých skvrn.
Podobné rozhodnutí je třeba učinit před ošetřením zubů. Pokud se plánuje bělení, nejdříve se vybělí zuby. A poté se provádí léčba a protetika. A ne naopak. Tak, aby se lékař řídil barvou zesvětlených zubů.
Jak dlouho vydrží výsledky bělení zubů?
Záleží na individuálních vlastnostech těla: jak člověk sleduje a pečuje o své zuby, udržuje hygienu a podstupuje preventivní prohlídky. To je ovlivněno kouřením, závislostí na čaji a kávě. V průměru trvá bělicí účinek jeden až tři roky. Váš zubní lékař vám poradí, jak si toto období prodloužit: bělícími pastami, delším a šetrnějším domácím bělením atp.
Je to škodlivé pro bělení zubů?
Žádný. Bělení provádíme od roku 2005. Nikdy neměl žádné problémy. Pravidelně vidíme mnoho pacientů na každoročních lékařských prohlídkách. Neexistují žádné negativní účinky nebo změny na zubech.
Moderní bělící systémy s ním ale zacházejí velmi opatrně!
A jak tvrdí všichni výrobci bělení zubů, je naprosto bezpečné. Jak ale zkontrolovat stav vybělených zubů po 10-15 letech? O takových pozorováních jsme se nikdy nikde nedočetli. Ne kvůli lenosti – prostě to nenašli. Naše pozorování vybělených zubů trvá pět let. Dosud nebyly zjištěny žádné problémy. co bude dál? Doufáme, že je to stejné.
Pozitivní prognóza je možná pouze při kompetentní práci s bělícími systémy, sledování a kontrole stavu zubních tkání po bělení zubů. K tomu se pravidelně setkáváme s pacienty. Ne v obchodech a na koncertech, jako v reklamách na některé zubní pasty, ale na našem území – na klinice. Taková setkání se nazývají lékařské prohlídky. Pomocí počítačové anamnézy porovnáváme stav celé ústní dutiny pacienta nyní a na předchozích setkáních.
Ve vývoji všech druhů zubních neštěstí vidíme dynamiku nebo její nedostatek. Pokud na zubech, plombách, korunkách nebo plaku došlo k nějakým změnám, dokážeme včas zasáhnout a špatné změny napravit a zabránit zničení čehokoli. Navíc to platí pro kontrolu nejen těch prací (výplně, korunky), které jsme provedli my, ale i jakýchkoli jiných, které jsme dříve nebo neprovedli.
Někdy stačí vyměněnou náplň jednoduše vyleštit a vydrží ještě několik celých let. Pokud jej necháte s defektem, vznikne na zubu kaz a nebude možné výplň opravit – později bude nutné ji kompletně vyměnit. Na stejných schůzkách se sleduje stav ústní hygieny – množství plaku a zubního kamene. A doporučení hygieniků jsou dána právě na základě kontroly toho, jak ta či ona zubní pasta v každém konkrétním případě funguje. Mimochodem, lékařské prohlídky pro naše pacienty jsou zcela zdarma.
Dejte si pauzu od bělení zubů. Nezaznamenali jsme tedy žádné viditelné poškození. Možná proto, že bereme bělení zubů vážně a dodržujeme všechny pokyny výrobců? Nebo je ten bělící systém dobrý? V každém případě při bělení zubů k určitému účinku na zuby dochází. A možná zdaleka ne pozitivní. Přestože po pěti letech nejsou žádné viditelné změny, pokud není naléhavá potřeba bělení zubů, můžete tento postup bezpečně odmítnout. Bělit či nebělit je řečnická otázka. Je jen na vás, jak se rozhodnete.
Pokud se ale rozhodnete pro bělení, pak jsme pro bezpečné bělení zubů – pod dohledem lékaře.
Tedy bez amatérských vystoupení a experimentů.
Přečtěte si více >>>
domácí bělení
typy barvení zubů
Líbil se vám článek? – označ ji
![]()
![]()
Pravda a mýty o bělení zubů
Každý si může vybělit zuby a toto je pravda!
Jak probíhá proces bělení zubů?

Schéma reakce bělení zubů
Než začneme třídit, co je pravda a co mýtus, musíme si obecně vysvětlit, jak k procesu bělení dochází.
Stručně řečeno, peroxid vodíku (nebo by to mohl být peroxid karbamidu) během reakce uvolňuje atomární kyslík, který proniká do dentinu a rozbíjí dvojné uhlíkové vazby barvícího pigmentu, čímž jej odbarvuje a zub vybělí.
Tomuto diagramu chybí informace, že k procesu nedochází na povrchu zubu a dokonce ani ve sklovině, ale v dentinu – tvrdé zubní tkáni umístěné pod sklovinou. Právě to určuje barvu zubů. Nepochopení tohoto bodu dalo vzniknout tolika mýtům a spekulacím, že je velmi těžké na to přijít sami. A pokud k tomu přidáte informace od obchodníků, stane se to zcela nereálným.

Můžete si vybělit zuby doma pomocí lidových prostředků?

Možnost domácího bělení pomocí dřevěného uhlí
Teplá trubice mýtus, kterému chci opravdu věřit. Soda, kokosový prášek, dřevěné uhlí, citronová šťáva a další lidové prostředky, které by vám podle informací na internetu měly pomoci vybělit zuby.
Bohužel nic z toho nefunguje jako bělení. Brusné prášky vám mohou pomoci odstranit pouze těžké skvrny a to je vše. Zároveň však mohou způsobit nenapravitelné poškození skloviny, její poranění a poškrábání.
Podívejte se ještě jednou zblízka na základní schéma bělení a pokuste se vysvětlit, jak všechny tyto lidové prostředky mohou proniknout do dentinu a odbarvit pigment? Přirozeně žádný! Je možné odstranit plak, ale rozhodně nelze zuby vybělit. Více podrobností si můžete přečíst zde.
Stále je možné bělit zuby doma!
A tohle – pravdu! S jedním velmi důležitým upřesněním – to lze provést, ale ne lidovými prostředky, ale pomocí profesionálního gelu pro domácí použití s individuálním chráničem úst, který je nutné objednat u zubaře na základě vašich dojmů. Zde o tom píšeme podrobněji.

Domácí bělení se zásobníkem na míru
Kosmetické bělení je unikátní metoda NE
Bezpečné bělení zubů o 20-30 odstínů pomocí inovativního systému kosmetického bělení – 100% mýtus!
Pro domácí použití byly vyvinuty karbamidperoxidové gely s koncentrací 6-16 %, schválené pro použití mimo dentální ordinace. Průběh bělení je 7-14 dní s aplikací gelu od jedné hodiny do 6-8 hodin v závislosti na koncentraci. V kosmetologii se gel aplikuje po dobu 15-45 minut, což je extrémně málo času k dosažení dobrého a trvalého účinku. Proto je pro bělení zubů v kosmetické ambulanci zapotřebí několika návštěv, čímž se výhoda nízké ceny za jeden zákrok snižuje na nulu.

Fotografie před a po bělení
Fotky před a po jsou samostatnou kategorií mýty. Aby byl výsledek bělení ozdoben, je na fotografii „Před“ často aplikován teplý filtr a na této fotografii mají zuby a měkké tkáně žlutý odstín. Na fotografii „Po“ je aplikován chladný filtr, díky kterému jsou zuby bělejší a dásně a vše ostatní v rámečku má namodralý odstín. Na rozdíl od toho se efekt zdá opravdu neuvěřitelný, ale vy už víte, jak ho získat za pár minut práce ve Photoshopu. V dnešní době se staly jemnějšími, ale před pár lety se nikdo zvlášť neostýchal a na stejnou fotku nasadili filtry a zveřejnili ji jako důkaz výsledku.

Dva různé filtry aplikované ve Photoshopu za 1 minutu
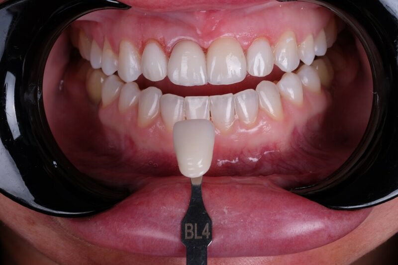
Reálný výsledek bělení – foto
Pro vyhodnocení skutečného účinku bělení musí rám obsahovat barevný vzorek z barevné škály VITA. Na fotce je to velmi světlý odstín Bleach 4, což je skvělý výsledek. Ještě lepší by bylo, kdyby tam byla fotka „Před“ s odpovídajícím barevným vzorkem. Na této fotce je ale vidět rozdíl, pokud porovnáte zadní zuby na spodní čelisti se všemi ostatními. Při bělení na ně není možné nanést gel, zachovávají si tak svou původní barvu a je tedy jasně viditelný rozdíl mezi „Před“ a „Po“.
Bleach 4 je velmi slušný výsledek
Bělení zubů je extrémně bolestivé
toto mýtus Zástupci kosmetického bělení toto rádi replikují a podporují, aby přilákali co nejvíce klientů a odstrašili je od bělení ve stomatologii.
Ve vzácných případech může klinické bělení skutečně způsobit nepohodlí. To ale vůbec nejsou pekelná muka, kterými vás děsí. Podle protokolu se provádějí tři aplikace a při třetí aplikaci mohou začít vystřelující bolesti. Zpravidla se to vyskytuje u naprosté menšiny pacientů.
Řešení problému je velmi jednoduché – jedna tableta léku proti bolesti na bázi ibuprofenu před Bělení sníží riziko citlivých skvrn na minimum.

Bolest je hlavní hororový příběh
Peroxid vodíku ničí sklovinu
Další mýtus, které lze nejčastěji nalézt na stránkách a sociálních sítích zástupců kosmetického bělení. Ve skutečnosti peroxid vodíku v gelu nijak neinteraguje se sklovinou, protože sklovina je z 99 % tvořena minerálními anorganickými sloučeninami. Peroxid karbamidu se navíc během reakce rozkládá na peroxid vodíku a močovinu, což činí tvrzení o výhodách gelů na bázi peroxidu oproti gelům na bázi peroxidu ještě absurdnější.
Sněhobílý úsměv při jedné návštěvě kliniky
99% z toho je mýtus a oblíbená pohádka marketérů s jejich prodejními texty. Příslib, který způsobí nejsilnější nedorozumění v následné reálné komunikaci. Sněhově bílý výsledek je možný pouze v případě, že již máte světlé zuby odstínu A1, které lze skutečně vybělit jedním tahem na velmi bílé odstíny bělidla 2-4. Většina pacientů, kteří si chtějí vybělit zuby, přichází se zuby barvy A2, A3 – A3.5 a chtějí je vybělit okamžitě na Bleach 2-4, což je docela dobře možné, pokud kombinujete klinické bělení s domácím, nebo klinické bělení po určité době opakujete. Ale takových výsledků nelze dosáhnout při jedné návštěvě pomocí dostupných bělicích systémů.

Burzovní fotografie zubů vybělených ve fotoeditoru jako důkaz
Jaká je tedy pravda o bělení zubů?
Pravda Faktem je, že každý člověk má přístup ke kvalitní bělící službě, pokud si chce zuby opravdu vybělit. Ale musíte jasně pochopit, že nemůžete dosáhnout požadovaného výsledku pomocí různých životních hacků v naději, že ušetříte peníze. Anatomii struktury zubu a zvláštnosti chemických reakcí neoklamete. Bělení je seriózní procedura, která pro dobré výsledky vyžaduje profesionální přístup. Proto buď bělení u zubaře nebo doma kvalitními gely od prověřených výrobců. Nejlepšího výsledku dosáhnete kombinací těchto dvou metod. Pokud ještě nejste připraveni, je lepší se záměru vybělit si zuby na chvíli jednoduše vzdát, zde neexistují žádná řešení, jen nám věřte, víme, o čem mluvíme!